Home
::
WMD
::
Introduction
::
Biological
::
Agents
::
Viral
::
Ebola
::
Military
WMD Menu
Introduction
Systems
Facilities
Agencies
Operations
Countries
Hot Documents
News
Reports
Policy
Budget
Congress
Links
Intelligence
Homeland Security
Space
Weapons of Mass Destruction (WMD)
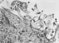
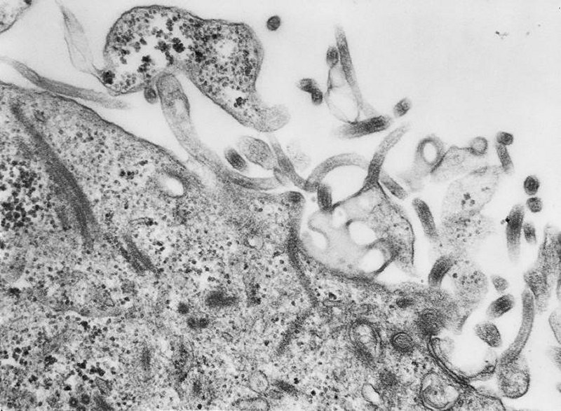
Ebola Haemorrhagic Fever
Ebola Attributes
Ebola Pictures
Ebola Haemorrhagic Fever
NEWS
LETTER
Join the GlobalSecurity.org mailing list
Enter Your Email Address
Do Not Sell My Personal Information
Advertise with Us
|
About Us
|
Site Map
|
Privacy